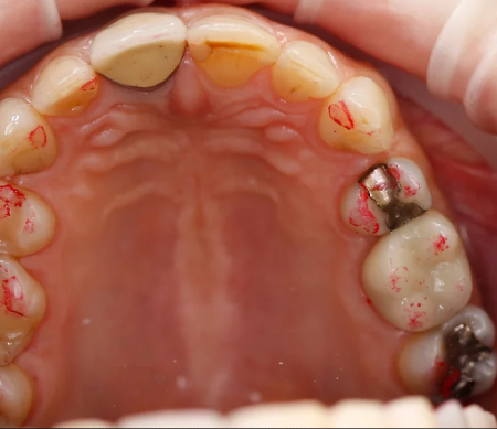
Артикуляционная бумага 40µ, красный цвет
Бумага является очень тонкой и, в то же время, прочной бумагой, которая с обеих сторон покрыта жидкой краской. Малая толщина этой бумаги исключает получение ложных или смазанных контактных пунктов и обеспечивает точные, чёткие цветные отпечатки. Покрытие с особенной степенью надёжности выявляет все окклюзионные контакты даже на смоченных слюной золотых, керамических, полированных металлических или пластмассовых поверхностях.
Специальное покрытие состоит из множества микрокапсул, наполненных краской. Микрокапсулы лопаются даже при незначительном давлении и высвобождают жидкую краску, окрашивая места контактов. Эта бумага может использоваться многократно, так как красящее покрытие обладает способностью к регенерации.
Окклюзионная бумага толщиной 40μ особенно хорошо подходит для двухцветной демонстрации статической и динамической окклюзии. Для этого на первом этапе окрашиваются в красный цвет все контактные пункты в положении центральной окклюзии, а затем проводится второй этап с окраской динамических контактных пунктов в синий цвет. Использование синей бумаги на первом этапе и красной бумаги на втором этапе также даёт хорошие результаты.
Бумагу дугообразной формы легко вносить в полость рта без помощи пинцетов или прикусных вилок. Дугообразная окклюзионная бумага доставляется в специальном пластмассовом боксе, такая упаковка позволяет легко извлекать бумагу из бокса.
Врач может сразу распознать, какая сторона больше подвергается жевательной нагрузке. Особенно при проверке окклюзии тотальных протезов, которая проводится, главным образом, по методу билатеральной сбалансированной окклюзии, желательно равномерное отображение всех контактов.
При этом дугообразная окклюзионная бумага „Bausch“ существенно облегчает припасовку, особенно при проверке контактов на смоченных слюной пластмассовых поверхностях.
Инструкция на артикуляционные средства Bausch
Для заказа позвоните нам по телефону +7 (495) 123-39-98 или +7 (496) 341-1690, либо оставьте заявку на звонок на сайте. Мы практикуем инди-видуальный подход к каждому клиенту и максимально быстро отправляем заказ по указанному вами адресу.

