Артикуляционная бумага 200µ, синий цвет
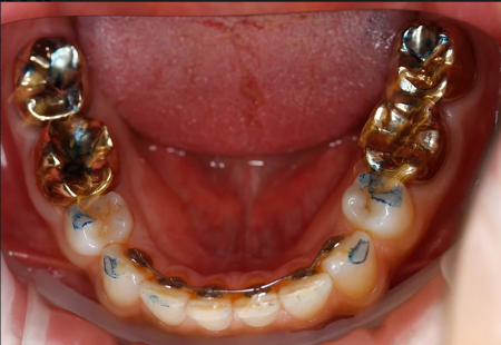
Артикуляционная бумага Bausch толщиной 200 мкм с нарастающей интенсивностью цвета является единственным видом бумаги, позволяющим представить жевательную силу различной интенсивности в виде цветных отображений с оттенками, зависящими от величины нагрузки:
МАЛОЕ ДАВЛЕНИЕ ПРИ НАКУСЫВАНИИ ОТОБРАЖАЕТСЯ БОЛЕЕ СВЕТЛЫМ, А БОЛЬШОЕ ДАВЛЕНИЕ – БОЛЕЕ ТЁМНЫМ ОТПЕЧАТКОМ.
В считанные секунды стоматолог получает точный профиль распределения жевательного давления. Преждевременные контакты становятся моментально чётко видимыми и могут быть целенаправленно сошлифованы. Только артикуляционная бумага Бауша толщиной 200 мкм с нарастающей интенсивностью цвета способна так надёжно регистрировать имеющиеся завышения на контактных пунктах. После первичной обработки завышенных контактов следует в дальнейшем использовать более тонкие проверочные средства, которые также имеются в нашем ассортименте.
МАЛОЕ ДАВЛЕНИЕ ПРИ НАКУСЫВАНИИ ОТОБРАЖАЕТСЯ БОЛЕЕ СВЕТЛЫМ, А БОЛЬШОЕ ДАВЛЕНИЕ – БОЛЕЕ ТЁМНЫМ ОТПЕЧАТКОМ.
В считанные секунды стоматолог получает точный профиль распределения жевательного давления. Преждевременные контакты становятся моментально чётко видимыми и могут быть целенаправленно сошлифованы. Только артикуляционная бумага Бауша толщиной 200 мкм с нарастающей интенсивностью цвета способна так надёжно регистрировать имеющиеся завышения на контактных пунктах. После первичной обработки завышенных контактов следует в дальнейшем использовать более тонкие проверочные средства, которые также имеются в нашем ассортименте.
Инструкция на артикуляционные средства Bausch
Для заказа позвоните нам по телефону +7 (495) 123-39-98 или +7 (496) 341-1690, либо оставьте заявку на звонок на сайте. Мы практикуем индивидуальный подход к каждому клиенту и максимально быстро отправляем заказ по указанному вами адресу.
Характеристики
Артикул
BK 01

