Опыт применения пломбировочного материала «Megafill МF» компании Megadenta Dentalprodukte для реставрации фронтальной группы зубов
Компания Megadenta Dentalprodukte внедряя новые технологии производства, модернизируя химический состав и физические свойства своей продукции, создала новый универсальный микрогибридный композит Megafill MF. Новая комбинация керамических наполнителей обеспечивает высокую стабильность формы и низкую усадку после полимеризации. По сравнению с Megafill MF в новом композите увеличена массовая доля наполнителя с оптимальным распределением размеров нано-частиц, в состав входит диоксид кремния и высокое содержание специального микростекла. Выраженный эффект хамелеона, естественная опалесцентность, возможность полирования реставрации до высокой степени блеска и широкая палитра цветов позволяют использовать новый универсальный микрогибридный композит Megafill MF для послойной техники и эстетической реставрации фронтальных и боковых зубов.
Кафедра гериатрической стоматологии Московского Государственного Медико-стоматологического университета им. А.И.Евдокимова заведующий кафедрой, д.м.н., профессор Е.А.Волков
К.м.н., доцент кафедры И.Б.Иконникова
Аспирант кафедры, врач-стоматолог Геннадий Иконников
Клинический ординатор кафедры, врач-стоматолог Николай Корнев
Компания Megadenta Dentalprodukte внедряя новые технологии производства, модернизируя химический состав и физические свойства своей продукции, создала новый универсальный микрогибридный композит Megafill MF. Новая комбинация керамических наполнителей обеспечивает высокую стабильность формы и низкую усадку после полимеризации. По сравнению с Megafill MF в новом композите увеличена массовая доля наполнителя с оптимальным распределением размеров нано-частиц, в состав входит диоксид кремния и высокое содержание специального микростекла. Выраженный эффект хамелеона, естественная опалесцентность, возможность полирования реставрации до высокой степени блеска и широкая палитра цветов позволяют использовать новый универсальный микрогибридный композит Megafill MF для послойной техники и эстетической реставрации фронтальных и боковых зубов.
Клинический случай 1
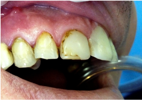
В клинику кафедры гериатрической стоматологии Московского Государственного Медико-стоматологического университета им. А.И.Евдокимова обратился пациент с жалобами на эстетический недостаток, острые края зуба 1.1. Зуб 1.1 ранее лечен по поводу кариеса несколько лет назад.
При осмотре: на вестибуляроной поверхности зуба 1.1 пигментация вокруг пломбы из-за вторичного кариозного процесса (рис. 2). ЭОД зуба 1.1 5 мкА.

Рис. 2
Под инфильтрационной анестезией удалены старая пломба, измененные кариозным процессом ткани зуба 1.1. Диагноз: кариес дентина зуба 1.1 по классификации МКБ-10 (рис. 3). Полость сформирована.

Рис.3
Произведен этап протравливания гелем C-Cid (Megadentа) (рис.4)
Рис.4
Этап нанесения бонда C-Prime S plus (рис.5)

Рис. 5
Этап нанесения реставрационного материала и моделирования вестибулярной поверхности (рис.6)

Рис.6
Вид реставрации после нанесения последнего слоя (рис.7)

Рис.7
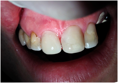
Вид реставрации зуба 1.1 после шлифования и полирования (Рис.8)

Рис.8
Клинический случай 2
В клинику кафедры гериатрической стоматологии Московского Государственного Медико-стоматологического университета им. А.И.Евдокимова обратилась пациентка с жалобами на эстетический недостаток вокруг пломбы в зубе 1.2. Жалоб нет, зуб лечен по поводу кариеса 5 лет назад (рис.12)

Рис.12
После наложения изоляционной системы OptraDam удалена прежняя пломба, сформирована полость по III классу (рис. 13). Дно полости плотное, реакция на холод быстропроходящая. Диагноз: кариес дентина зуба 3.7 (по классификации МКБ-10)

Рис. 13
Произведен этап протравливания гелем C-Cid (Megadent) (Рис.14)

Рис.14
Этап нанесения бонда C-Prime S plus (рис.15)

Рис.15
Этап введения реставрационного материала (рис.16)

Рис.16
Итог законченого лечения. Восстановлена анатомическая форма, цвет пломы соответствует цвету здоровых тканей зуба. Пациентка довольна полученным результатом (рис.17)

Рис.17
Материал MEGAFILL МF компании Megadenta Dentalprodukte плотной консистенции, во время работы становится пластичным за счет принятия температуры зуба, не прилипает к инструменту, не растекается, сохраняет форму до полимеризации.
Апробируемый пломбировочный материал показал высокий эстетический результат после проведения реставрации зубов.

