Инструкция на артикуляционные средства Bausch
Медицинское изделие «Средство стоматологическое для проверки артикуляции и окклюзии» предназначено для цветовой маркировки артикуляции и определения окклюзии при пломбировании, протезировании, пародонтологическом и ортодонтическом лечении с целью последующей коррекции прикуса.
«Средство стоматологическое для проверки артикуляции и окклюзии»
варианты исполнения:
1. Шелк артикуляционный Bausch:
REF ВК 07, REF ВК 877, REFBK 876, REF ВК 08, REF ВК 06;
2. Фольга артикуляционная BauschArti-Fol:
REF ВК 38, REF ВК 39, REF ВК 33, REF ВК 32, REF ВК 31, REF ВК 35, REF ВК 731, REF ВК 28, REF ВК 1028, REF ВК 30, REF ВК 730, REF ВК 21, REF ВК 1021, REF ВК 25, REF ВК 1025, REF ВК 71, REF ВК 75, REF ВК 22, REF ВК 1022, REF ВК 26, REF ВК 1026, REF ВК 72, REF ВК 76, REF ВК 23, REF ВК 1023, REF ВК 27, REF ВК 1027, REF ВК 73, REF ВК 77, REF ВК 20, REF ВК 1020, REF ВК 24, REF ВК 1024, REF ВК 70, REF ВК 74
3. Бумага артикуляционная Bausch:
REF ВК 01, REF ВК 1001, REF ВК 03, REF ВК 05, REF ВК 51, REF ВК 53, REF ВК 57, REF ВК 02, REF ВК 1002, REF ВК 04, REF ВК 52, REF ВК 54, REF ВК 58
4. Бумага окклюзионная BauschArti-Check:
REF ВК 09, REF ВК 10, REF ВК 11, REF ВК 12, REF ВК 13, REF ВК 14, REF ВК 15, REF ВК 16, REF ВК 17, REF ВК 18, REF ВК 61, REF ВК 62, REF ВК 63, REF ВК 80, REF ВК 81, REFBK 1013, REFBK 1014, REFBK 1015, REFBK 1016
5. Пленка окклюзионная BauschGnathoFilm:
REF ВК 123, REF ВК 173, REF ВК 120, REF ВК 170, REF ВК 121, REF ВК 171, REF ВК 122, REF ВК 172
6. Индикатор для съемных протезов BauschBio-InkFlow:
REF ВК 206
7. Индикатор окклюзионных контактов BauschAtri-Spray:
REF ВК 285, REF ВК 286, REF ВК 287, REF ВК 288,
8. Индикатор окклюзионных контактов BauschArti-Brux-Quick:
REF BK 88
9. Индикатор для регистрации контактных пунктов BauschArti-Spot:
REF ВК 85, REF ВК 86, REF ВК 87
2. Производитель:
«Др. ЖанБаушГмбХэндКо. КГ»,Германия/ Dr. JeanBauschGmbH&Co. KG, Oskar-Schindler-Str. 4, D-50769 Kӧln, Germany, Тел.+49 (221) 709 36-0, info@bauschdental.de
Место производства:
1. «Др. ЖанБаушГмбХэндКо.КГ», Германия/ Dr. JeanBauschGmbH&Co. KG, Oskar-Schindler-Str. 4, D-50769 Kӧln, Germany, Тел. +49 (221) 70936-0, info@bauschdental.de
2. «Др. ЖанБаушГмбХэндКо. КГ», Германия/ /Dr. JeanBauschGmbH&Co. KG, AufderHeide 17, 56729 Langenfeld, Germany, Тел. +49 (221) 709 36-66
info@bauschdental.de
Уполномоченный представитель в РФ
АО «ЭУР-МЕДДенталдепо»
Россия,143360, Московская обл., Наро-Фоминский р-он, г. Апрелевка, ул. Октябрьская, д.9,
Телефон: (496) 345-00-46, (496) 345-00-11, (496) 341-16-90
Эл. почта: info@eurmed.ru
3. Назначение, потенциальный потребитель
Медицинское изделие «Средство стоматологическое для проверки артикуляции и окклюзии» предназначено для цветовой маркировки артикуляции и определения окклюзии при пломбировании, протезировании, пародонтологическом и ортодонтическом лечении с целью последующей коррекции прикуса.
Приобретение и использование данного изделия допускается исключительно врачами-стоматологами и зубными техниками.
На этикетке имеется надпись «Только для профессионального использования».
Показания к применению
Медицинское изделие показано как средство выявления статической и динамической окклюзии при восстановительных процедурах зубов.
Условия применения
Температура от 0 °C до +35 °C
Относительная влажность от 20 % до 90 % (без конденсации)
Атмосферное давление от 650 до 1060 гПа
Макс. высота над уровнем моря 3000 м
4. Риски применения
Отчет по управлению рисками составлен производителем в соответствии с требованиямиDIN EN ISO 14971. В отчете сделан вывод об отсутствии необходимости в принятии мер по дополнительному контролю рисков для вариантов исполнения на основе шелка, фольги, бумаги и пленки.
Для остальных вариантов исполнения результаты анализа рисков и пользы показывают, что польза превосходит остаточные риски, которые считаются допустимыми.
Противопоказания
Для всех вариантов исполнения противопоказания не выявлены.
Возможные побочные действия
Не следует применять изделие, если известно, что у пациента были аллергические реакции на любой из компонентов, входящих в состав изделия.
Меры предосторожности
• Изделия, промаркированные символом
«не использовать повторно», предназначены только для однократного применения в полости рта пациента.В зуботехнических лабораториях эти изделия допустимо использовать многократно.• Изделия могут применяться только по назначению в указанной области применения врачом-стоматологом или зубным техником.
• Не использовать изделие после истечения срока годности.
• При работе с изделием в стоматологическом кабинете врачу следует воспользоваться защитными медицинскими перчатками.
• Индикатор окклюзионных контактов BauschArti-Brux-QuickREF ВК 88 может проникать в микротрещины реставраций из пластика или керамики и вызвать их временное или постоянное изменение цвета.
• Индикатор окклюзионных контактов Bausch Arti-Brux-Quick не использовать для беременных женщин или маленьких детей, а также для пациентов с алкогольной зависимостью.
• Индикатор окклюзионных контактов Bausch Arti-Brux-Quick REF ВК 88 не рекомендуется наносить на открытый дентин и обточенные зубные поверхности.
• Следует избегать непосредственного нанесения Индикатора для съемных протезов BauschBio-InkFlowREFBK 206 на сильно воспаленные участки или гнойные язвы полости рта.
• При хранении Индикатора окклюзионных контактов BauschAtri-Spray избегать попадания прямых солнечных лучей и нагрева изделия выше 50˚С. Запрещается деформировать эти средства, сжигать и вскрывать баллончики даже после использования. Изделие огнеопасно, не применять вблизи открытого огня, хранить в недоступном для детей месте.
5. Общее описание изделия. Функциональные характеристики.
Правильная окклюзия важна дляобщего состояния здоровья пациента. Каждая восстановительная процедура зубов (терапия, протезирование, ортодонтическое и пародонтологическое лечение) изменяют статическую и динамическую окклюзию. Малейшие окклюзионные нарушения микронных размеров способны нарушить равновесие стоматологической системы. Такие нарушения могут привести к дисфункции височно-нижнечелюстного сустава, жевательных мышц, заболевания пародонта. Окклюзия должна тщательно проверяться у пациентов, в случаях установки новых пломб, коронок, мостовидных протезов или после ортодонтического лечения.
Медицинское изделие «Средство стоматологическое для проверки артикуляции и окклюзии» представляют собой различные виды приспособлений на основе натурального шелка, фольги, бумаги, полиэтиленовой пленки различной длины, ширины и толщины, а также представлены в виде спрея, пасты и лака. В состав всех вариантов исполнения входят цветные пигменты. Изделие позволяет отображать (маркировать цветом) области контакта и усилия в прикусе (только для бумаги с прогрессивной расцветкой)при смыкании и движении верхней и нижней челюстей пациента, а также при подгонке ортопедических конструкций в зуботехнических лабораториях.
Изделие является диагностическим средством для выявления окклюзии при статическом и динамическом смыкании зубов,а также при подгонке ортопедических конструкций в зуботехнических лабораториях. Позволяет маркировать как натуральную зубную поверхность, так и различные стоматологические материалы, включая керамику и золото.
|
Погрешности линейных размеров всех вариантов исполнений и их индивидуальных упаковок составляет 5%, Погрешность толщины изделий на основе шелка, фольги, бумаги и пленки, выраженной в мкм, составляет 7%. Погрешность масс всех вариантов исполнений без упаковки и в индивидуальной упаковке составляет 7%. Погрешность объемов спреев, жидкой краски, лака составляет 7%. |
5.1. Шелк артикуляционный Bausch (код вида 118420).
Шелк артикуляционный Bausch представляет собой натуральную шелковую ленту толщиной 80 мкм, состоящую из переплетенных волокон, пропитанную красящим пигментом в масляно-восковой эмульсии.
Высокая прочность, эластичность и малая толщина артикуляционного шелка позволяет ему плотно облегать все бугорки и углубления зубной поверхности. Шелк оставляет очень точные отпечатки и может применяться при тотальном протезировании.
Шелк позволяет высокой способностью удерживать пигменты.
При работе на моделях в зуботехнических лабораториях можно использовать один и тот же отрезок ленты до 10 раз.
Шелк артикуляционный выполнен в трех цветах: красном, синем и зеленом.
5.1.1.Технические характеристики
| Исполнение REF |
Форма выпуска Шелк артикуляционный
|
Толщина | Ширина | Длина | Цвет |
| BK 06 | Рулон в пластиковом боксе | 80 мкм | 80 мм | 3 м | красный |
| BK 876 | Рулон в пластиковом боксе |
80 мкм |
80 мм | 3 м | зеленый |
| BK877 | Рулон в пластиковом боксе | 80 мкм | 80 мм | 3 м | синий |
| BK 07 | Рулон в пластиковом боксе | 80 мкм | 16 мм | 10 м | синий |
| BK 08 | Рулон в пластиковом боксе |
80 мкм |
16 мм | 10 м | красный |
5.1.2. Массы, габариты, упаковки, изделия
| Наименование (REF) |
Внешний вид изделия, упаковки Шелк артикуляционный |
Наружный диаметр изделия |
Масса изделия с бобиной |
Масса брутто |
Масса упаковки |
| ВК 06, BK 876, ВК 877 |
![]() Пластиковый цилиндрический бокс с завинчивающейся крышкой: Диаметр 4,8 см Высота 9,0 см |
3,7 см | 30 г | 62 г | 32 г |
| ВК 07, ВК 08, |
![]() ![]() Пластиковый цилиндрический бокс с завинчивающейся крышкой: Диаметр 4,8 см Высота 9,0 см |
синий ролик 3,7 см | 17 г | 32 г | 15 г |
5.2 Фольга артикуляционнаяBausch Arti-Fol (код вида 118420).
Фольга артикуляционная BauschArti-Folпредставляет собой прочную металлизированную полиэфирную фольгу с красящим односторонним, или двусторонним покрытием. Фольга артикуляционная представлена тремя типами:
• Фольга толщиной – 12 мкм, металлизированная, с двусторонним цветопередающим покрытием толщиной 6 мкм (ВК 28 и ВК 1028). Эти варианты исполнения точно маркируют увлажненные жевательные поверхности всех стоматологических материалов: металла, керамики, пластмассы, включая композиты, а также она подходит для естественных зубов.
Металлизированная фольга позволяет в значительной степени уменьшить действие статического электричества при использовании на керамических и металлических поверхностях. Эту фольгу можно накладывать на зубную поверхность без помощи пинцета.


• Фольга ультратонкая толщиной 8 мкм с односторонним красящим покрытием толщиной 6 мкм черного, красного, зеленого, синего и белого цвета. (ВК 1020, ВК 1021, ВК 1022, ВК 1023, ВК 1024, ВК 1025, ВК 1026, ВК 1027), (ВК 70, ВК 71, ВК 72, ВК 73, ВК 74, ВК 75, ВК 76, ВК 77). Позволяет выявить самые незначительные ранние контакты (микронных значений) на полированных керамических или металлических поверхностях. Подходит для многоцветной регистрации статической и динамической окклюзии в несколько этапов. Фольга белого цвета используется для проверки контактов на цветных коронковых восках.
Широкую ультратонкую фольгу, с помощью которой удобно проверять всю зубную дугу, рекомендовано использовать в зуботехнической лаборатории. В частности, при подгонке полных съемных протезов или прикусных шин.
5.2.1. Технические характеристики|
Исполнение REF |
Форма выпуска Фольга артикуляционная |
Толщина
|
Ширина
|
Длина
|
Описание, цвет |
|
BK 28 |
Рулон в диспенсере с ножом для отрыва |
12 мкм |
22 мм |
20 м |
Двусторонняя металлизированная черный /красный |
|
BK 1028 |
Сменный ролик в картонном боксе |
12мкм |
22 мм |
20 м |
Двусторонняя металлизированная черный/красный |
|
BK 30 |
Рулон в диспенсере с ножом для отрыва |
12 мкм |
22 мм |
20 м |
Односторонняя металлизированная черный |
|
BK 31 |
Рулон в диспенсере с ножом для отрыва |
12 мкм |
22 мм |
20 м |
Односторонняя металлизированная красный |
|
ВК 32
|
Рулон в диспенсере с ножом для отрыва |
12 мкм |
22 мм |
20 м |
Односторонняя металлизированнаязеленый |
|
ВК 33 |
Рулон в диспенсере с ножом для отрыва |
12 мкм |
22 мм |
20 м |
Односторонняя металлизированнаясиний |
|
ВК 35 |
Полоски (100 шт.) в пластиковом боксе (2 блока по 50 листов). |
12 мкм |
8 мм |
60 мм |
Односторонняя металлизированнаякрасный |
|
ВК 38 |
Полоски (100 шт.) в пластиковом боксе (2 блока по 50 листов) |
12 мкм |
8 мм |
60 мм |
Односторонняя металлизированная без покрытия |
|
ВК 39 |
Рулон в диспенсере с ножом для отрыва |
12 мкм |
16 мм |
20 м |
Односторонняя металлизированная без покрытия |
|
ВК 730 |
Рулон в диспенсере с ножом для отрыва |
12 мкм |
75 мм |
20 м |
Односторонняя металлизированная черный |
|
ВК 731 |
Рулон в диспенсере с ножом для отрыва |
12 мкм |
75 мм |
20 м |
Односторонняя металлизированная красный |
|
ВК 20 |
Ролик в диспенсере |
8 мкм |
22 мм |
20 м |
Односторонняя черный |
|
ВК 21 |
Ролик в диспенсере |
8 мкм |
22 мм |
20 м |
Односторонняя красный |
|
ВК 22 |
Ролик в диспенсере |
8 мкм |
22 мм |
20 м |
Односторонняя зеленый |
|
ВК 23 |
Ролик в диспенсере |
8 мкм |
22 мм |
20 м |
Односторонняя синий |
|
ВК 24 |
Ролик в диспенсере |
8 мкм |
22 мм |
20 м |
Двусторонняя черный |
|
ВК 25 |
Ролик в диспенсере |
8 мкм |
22 мм |
20 м |
Двусторонняя красный |
|
ВК 26 |
Ролик в диспенсере |
8 мкм |
22 мм |
20 м |
Двусторонняя зеленый |
|
ВК 27 |
Ролик в диспенсере |
8 мкм |
22 мм |
20 м |
Двусторонняя синий |
|
ВК 1020 |
Рулон на бобине (сменный ролик) |
8 мкм |
22 мм |
20 м |
Односторонняя черный |
|
ВК 1021 |
Рулон на бобине (сменный ролик) |
8 мкм |
22 мм |
20 м |
Односторонняя Красный |
|
ВК 1022 |
Рулон на бобине (сменный ролик) |
8 мкм |
22 мм |
20 м |
Односторонняя зеленый |
|
ВК 1023 |
Рулон на бобине (сменный ролик) |
8 мкм |
22 мм |
20 м |
Односторонняя синий |
|
ВК 1024 |
Рулон на бобине (сменный ролик) |
8 мкм |
22 мм |
20 м |
Двусторонняя черный |
|
ВК 1025 |
Рулон на бобине (сменный ролик) |
8 мкм |
22 мм |
20 м |
Двусторонняя красный |
|
ВК 1026 |
Рулон на бобине (сменный ролик) |
8 мкм |
22 мм |
20 м |
Двусторонняя зеленый |
|
ВК 1027 |
Рулон на бобине (сменный ролик) |
8 мкм |
22 мм |
20 м |
Двусторонняя синий |
|
ВК 70 |
Рулон на картонной бобине |
8 мкм |
75 мм |
20 м |
Односторонняя черный |
|
ВК 71 |
Рулон на картонной бобине |
8 мкм |
75 мм |
20 м |
Односторонняя красный |
|
ВК 72 |
Рулон на картонной бобине |
8 мкм |
75 мм |
20 м |
Односторонняя зеленый |
|
ВК 73 |
Рулон на картонной бобине |
8 мкм |
75 мм |
20 м |
Односторонняя синий |
|
ВК 74 |
Рулон на картонной бобине |
8 мкм |
75 мм |
15 м |
Двусторонняя черный |
|
ВК 75 |
Рулон на картонной бобине |
8 мкм |
75 мм |
15 м |
Двусторонняя красный |
|
ВК 76 |
Рулон на картонной бобине |
8 мкм |
75 мм |
15 м |
Двусторонняя зеленый |
|
ВК 77 |
Рулон на картонной бобине |
8 мкм |
75 мм |
15 м |
Двусторонняя синий |
5.2.2. Массы, габариты изделия, упаковки
| Исполнение(REF) |
Внешний вид изделия, упаковки Фольга артикуляционная |
Наружный диаметр ролика/размеры полосок |
Массаизделия |
Масса брутто |
Масса упаковки
|
|
ВК 28,
ВК 30, ВК 31, ВК 32, ВК 33 |
Пластиковый диспенсер с ножом для отрыва: Ширина 2,8см Длина 5,4см Высота максимальная 6,4 см
Картонный бокс: Ширина 6,2 см Длина 6,8 см Глубина 3,2 см
|
Ролик 4,0 см
|
38 г |
44г |
6г |
|
ВК 1028
|
Картонный бокс Ширина 4,2 см Длина 4,2 см Глубина 2,6 см
|
ролик 4,0 см |
14г |
16 г
|
2 г |
|
ВК 35 ВК38
|
Пластиковый бокс Ширина 2,9 см Длина 7,4 см Высота 1,1 см
|
Полоски Ширина 8 мм Длина 60 мм |
2 г |
8 г |
6 г |
|
BK 39
|
Пластиковый диспенсер с ножом для отрыва: Ширина 2,8см Длина 5,4см Высота максимальная 6,4 см
Картонный бокс Ширина 6,0см Высота 6,8 см Глубина3,2 см |
ролик 3,4 см
|
32 г в диспенсере
|
38 г |
6 г |
|
ВК 730 ВК 731
|
Пластиковый цилиндрический боксс завинчивающейся крышкой Диаметр 4,8 см Высота 9,0 см
|
ролик 3,4 см
|
30 г
|
62 г
|
32 г
|
|
ВК 20 ВК 21 ВК 22 ВК 23 ВК 24 ВК 25 ВК 26 ВК 27 ВК 29 |
Пластиковый диспенсер с ножом для отрыва: Ширина 2,8см Длина 5,4см Высота максимальная 6,4 см Картонный бокс Ширина 6,0 см Высота 6,8 см |
ролик 4,2 см
|
37 г |
43 г |
6 г |
|
ВК 1020 ВК 1021 ВК 1022 ВК 1023 ВК 1024 ВК 1025 ВК 1026 ВК 1027
|
Сменный ролик
Картонный бокс Ширина 4,2 см Длина 4,2 см Глубина 2,6см |
3,7 см |
13 г |
16 г |
3 г |
|
ВК 70 ВК 71 ВК 72 ВК 73 ВК 74 ВК 75 ВК 76 ВК 77
|
![]() Пластиковый цилиндрический боксс завинчивающейся крышкой Диаметр 4,8 см Высота 9,0 см |
3,8 см |
40 г |
48 г |
8 г |
Бумага артикуляционная Bauschпредназначена для отображения статической окклюзии, она представляет собой полоски и листы различной формы из длинноволокнистой целлюлозы толщиной 200 мкм и 100 мкм, пропитанные пигментами красного или синего цвета. Артикуляционная бумага обладает прогрессирующей интенсивностью цвета: позволяет передавать жевательную силу различной интенсивности в виде цветных изображений с оттенками, зависящими от величины нагрузки. Малое давление при накусывании отражается более светлым цветовым пятном, а большое давление – более темным пятном. Ранние контакты становятся четко видимыми и могут быть целенаправленно отшлифованы. После первичной обработки завышенных контактов далее следует использовать более тонкие средства, (например, фольгу артикуляционную), начиная с толщины 12 мкм.


5.3.1. Технические характеристики
|
Исполнение REF |
Форма выпуска Бумага артикуляционная |
Толщина
|
Ширина
|
Длина
|
цвет |
|
BK 01 |
300 листов в пластиковом боксе на 6 ячеек |
200 мкм |
1,8 см |
5,2 см |
Синий |
|
BK 1001 |
300 листов в картонном боксе на 3 ячейки |
200 мкм |
1,8 см |
5,2 см |
Синий |
|
BK 02 |
300 листов в пластиковом боксе на 6 ячеек |
200 мкм |
1,8 см |
5,2 см |
красный |
|
BK 1002 |
300 листов в картонном боксе на 3 ячейки |
200 мкм |
1,8 см |
5,2 см |
красный |
|
BK 03 |
50 листов дугообразной формы в пластиковом боксе |
200 мкм |
Высота 8,0 см Ширина мин. 3,0 см Ширина макс. 6,6 см |
синий |
|
|
ВК 04 |
50 листов дугообразной формы в пластиковом боксе |
200 мкм |
Высота 8,0 см Ширина мин. 3,0 см Ширина макс. 6,6 см |
красный |
|
|
ВК 05 |
300 листов (3 отрывных блока скрепленных по 100 листов.) в картонном боксе |
200 мкм |
2,0 см |
9,0 см |
синий |
|
ВК 51 |
300 листов в пластиковом боксе на 6 ячеек |
100 мкм |
1,8 см |
5,2 см |
синий |
|
ВК 52 |
300 листов в пластиковом боксе на 6 ячеек |
100 мкм |
1,8 см |
5,2 см |
красный |
|
ВК 53 |
50 листов дугообразной формы в пластиковом боксе |
100 мкм |
Высота 8,0 см Ширина мин. 3,0 см Ширина макс. 6,6 см |
синий |
|
|
ВК 54 |
50 листов дугообразной формы в пластиковом боксе |
100 мкм |
Высота 8,0 см Ширина мин. 3,0 см Ширина макс. 6,6 см |
красный |
|
|
ВК 57 |
50 листов в пластиковом боксе на 2 ячейки |
100 мкм |
1,9 см |
5,2 см |
Синий |
|
ВК 58 |
50 листов в пластиковом боксе на 2 ячейки |
100 мкм |
1,9 см |
5,2 см |
красный |
5.3.2. Массы, габариты изделия, упаковки
|
Исполнение FER |
Внешний вид изделия, упаковки |
Бокс
|
Масса |
Масса брутто |
Масса упаковки |
|
ВК 01 ВК 02 ВК 51 ВК 52 |
Пластиковый бокс на 6 ячеек |
Ширина 6,3 см Высота 7,2 см Глубина3,3 см
|
48 г |
76 г |
28 г |
|
BK 1001 BK 1002
|
Картонный бокс на 3 ячейки |
Ширина 6,2 см Высота 6,2 см Глубина 3,1 см
|
48 г |
54 г |
6 г |
|
ВК 53 ВК 54 ВК 03 ВК 04 |
Пластиковый дугообразный бокс |
Ширина максимальная 7,7 см Ширина минимальная 3,7 см Высота 8,8 см |
20 г |
38 г |
18 г |
|
ВК 57 ВК 58 |
пластиковый бокс на 2 ячейки |
Ширина 5,0 см Высота 6,8 см Глубина1,3 см |
6 г |
20 г |
14 г |
|
ВК 05 |
Картонный бокс с тремя блоками |
Ширина 11,5 см Высота 4,1 см Глубина 2,6 см |
52 г |
58 г |
6 г |
5.4. Бумага окклюзионнаяBausch Arti-Check (код вида 118420).
Окклюзионная бумага Bausch Arti-Check имеет общую толщину 40 мкм, основой которой является 20 микронная длинноволокнистая целлюлоза, покрытая с обеих сторон красящим покрытием по 10 мкм каждое. Представлена в виде рулонов, полосок прямоугольных и дугообразных листов.

Окклюзионная бумага подходит для двухцветной маркировки статической и динамической окклюзии. Для этого на первом этапе все контактные пункты в положении центральной окклюзии окрашиваются в красный цвет, а затем проводится второй этап с окраской динамических контактных точек в синий цвет. Возможно применять на первом этапе бумагу синего цвета и красного – на втором.
Бумага окклюзионная дугообразной формы позволяет специалисту моментально распознать, какая сторона больше подвергается жевательной нагрузке.Бумага дугообразной формы рекомендована при проверке окклюзии тотальных протезов, (проводится главным образом по методубилатеральной сбалансированной окклюзии), при избирательном при шлифовывании. Дугообразная окклюзионная бумага существенно облегчает припасовку, особенно при проверке контактов на смоченных слюной пластмассовых поверхностях.
5.4.1. Технические характеристики
|
Исполнение REF |
Форма выпуска Бумага окклюзионная |
Толщина
|
Ширина
|
Длина
|
цвет |
|
BK 09 |
200листов (2 отрывных блока скрепленных по 100 листов.) в картонном боксе |
40 мкм |
2,0 см |
10,0 см |
синий |
|
BK 10 |
200 листов (2 отрывных блока скрепленных по 100 листов.) в картонном боксе |
40 мкм |
2,0 см |
10 см |
красный |
|
BK 11 |
100 листов в пластиковом боксе |
40 мкм |
10,0 см |
7,0 см |
синий |
|
BK 12 |
100 листов в пластиковом боксе |
40 мкм |
10,0 см |
7,0 см |
красный |
|
BK 13 |
Рулон в диспенсере с ножом для отрыва |
40 мкм |
1,6 см |
15 м |
синий |
|
ВК 14 |
Рулон в диспенсере с ножом для отрыва |
40 мкм |
1,6 см |
15 м |
красный |
|
ВК 15 |
Рулон в диспенсере с ножом для отрыва |
40 мкм |
2,2 см |
10 м |
синий |
|
ВК 16 |
Рулон в диспенсере с ножом для отрыва |
40 мкм |
2,2 см |
10 м |
красный |
|
ВК 1013 |
Сменный ролик в картонном боксе |
40 мкм |
1,6 см |
15 м |
синий |
|
ВК 1014 |
Сменный ролик в картонном боксе |
40 мкм |
1,6 см |
15 м |
красный |
|
ВК 1015 |
Сменный ролик в картонном боксе |
40 мкм |
2,2 см |
10 м |
синий |
|
ВК 1016 |
Сменный ролик в картонном боксе |
40 мкм |
2,2 см |
10 м |
красный |
|
ВК 17 |
150 листов дугообразной формы в пластиковом боксе
|
40 мкм |
Высота 8,0 см Ширина мин. 3,0 см Ширина макс. 6,6 см |
Синий |
|
|
ВК 18 |
150 листов дугообразной формы в пластиковом боксе |
40 мкм |
красный |
||
|
ВК 80 |
200листов (2 отрывных блока скрепленных по 100 листов.) в картонном боксе |
40 мкм |
2,0 см |
10,0 см |
Синий/красный |
|
ВК 81 |
150 листов дугообразной формы в пластиковом боксе |
40 мкм |
Высота 8,0 см Ширина мин. 3,0 см Ширина макс. 6,6 см |
Синий/красный |
|
|
ВК 61 |
200 листов в пластиковом боксе на 2 ячейки |
40 мкм |
2,0 см |
5,2 см |
синий |
|
ВК 62 |
200 листов в пластиковом боксе на 2 ячейки |
40 мкм |
2,0 см |
5,2 см |
Красный |
|
ВК 63 |
200 листов в пластиковом боксе на 2 ячейки |
40 мкм |
2,0 см |
5,2 см |
Синий/красный |
5.4.2. Массы, габариты изделия, упаковки
|
Исполнение REF |
Внешний вид Бумага окклюзионная |
Бокс (упаковка)
|
Масса изделия
|
Масса брутто |
Масса упаковки |
|
ВК 09 ВК 10 ВК 80
|
Картонный бокс с 2-мя скрепленными блоками по 100 листов (всего 200 листов) |
Ширина 11.2 см Высота 2,8 см Глубина1,6 см
|
24 г |
28 г |
4 г |
|
ВК 11 ВК 12 |
|
Ширина 7,8 см Высота 10,7 см Глубина 1,5 см
|
38 г |
66 г |
28 г |
|
ВК 13 ВК 14 |
Картонный бокс Наружный диаметр ролика 4,2 см Ширина диспенсера 2,8 см Длина диспенсера 5,4 Высота диспенсера максимальная 6,4 см
|
Ширина 6,2 см Длина 6,8 см Глубина 3,2 см
|
38 г |
44 г |
6 г |
|
ВК 15, ВК 16 |
Наружный диаметр ролика 3,8 см Ширина диспенсера 2,8 см Длина диспенсера 5,4 Высота диспенсера максимальная 6,4 см |
Ширина 6,2 см Длина 6,8 см Глубина 3,2 см
|
40г |
46г |
6г |
|
ВК 1013, ВК 1014 |
Наружный диаметр ролика 4,2 см |
Ширина 4,4 см Высота 4,5 см Глубина 1,9 см
|
14 г |
16 г |
2 г |
|
ВК 1015, ВК 1016 |
Картонный бокс Наружный диаметр ролика 3,8 см |
Ширина 4,2 см Высота 4,2 см Глубина 2,7 см
|
16 г |
18 г |
2 г |
|
ВК 17, ВК 18, ВК 81 |
Пластиковый дугообразный бокс |
Ширина максимальная 7,7 см Ширина минимальная 3,7 см Высота 8,8 см |
26 г |
44 г |
18 г |
|
ВК 61, ВК 62, ВК 63 |
|
Ширина 5,0 см Высота 6,8 см Глубина1,3 см |
12 г |
26 г |
14 г |
5.5. Пленка окклюзионная Bausch Gnatho Film (код вида 118420).
Пленка окклюзионная Bausch Gnatho Film– это очень гибкое и прочное средство для проверки прикуса, основа которой – полиэтиленовая пленка толщиной 16 мкм с мягким красящим покрытием в 6 микронов. Поверхность пленки обтягивает поверхности, необходимые для маркировки и позволяет очень точно определить точки фактического контакта

|
Исполнение REF |
Форма выпуска Пленка окклюзионная |
Толщина
|
Ширина
|
Длина
|
цвет |
|
ВК 120 |
50 листов в узком пластиковом боксе |
22 мкм
|
2,0 см |
6,0 см |
черный |
|
ВК 121 |
50 листов в узком пластиковом боксе |
22 мкм
|
2,0 см |
6,0 см |
Красный |
|
ВК 122 |
50 листов в узком пластиковом боксе |
22 мкм
|
2,0 см |
6,0 см |
Зеленый |
|
ВК 123 |
50 листов в узком пластиковом боксе |
22 мкм
|
2,0 см |
6,0 см |
синий |
|
ВК 170 |
50 листов в пластиковом боксе |
22 мкм
|
7,0 см |
10,0 см |
Черный |
|
ВК 171 |
50 листов в пластиковом боксе |
22 мкм
|
7,0 см |
10,0 см |
Красный |
|
ВК 172 |
50 листов в пластиковом боксе |
22 мкм
|
7,0 см |
10,0 см |
Зеленый |
|
ВК 173 |
50 листов в пластиковом боксе |
22 мкм
|
7,0 см |
10,0 см |
синий |
5.5.2. Массы, габариты изделия, упаковки
|
Исполнение REF |
Внешний вид Пленка окклюзионная |
Бокс (упаковка)
|
Масса изделия
|
Масса брутто
|
Масса упаковки
|
|
ВК 120, ВК 121, ВК 122, ВК 123 |
Пластиковый бокс с защелкой |
Ширина 2,9 см Длина 7,4 см Высота 1,1 см |
2 г |
10 г |
8 г |
|
ВК 170, ВК 171, ВК 172, ВК 173
|
|
Ширина 7,8 см Длина 10,8 см Высота 1,5 см |
16 г |
42 г |
26 г |
5.6. Индикатор для съемных протезов Bausch Bio-Ink Flow (код вида 118590).
Индикатор для съемных протезов BauschBio-InkFlow выявляет болевые точки на слизистой оболочке полости рта в местах излишнего давления протеза. Представляет собой вязкую пасту зеленого цвета в мини-тюбикев виде шприца из полипропилена объемом 1 мг и пятью сменными одноразовыми канюлями для нанесения пасты. Паста наносится на предварительно высушенную слизистую оболочку в местах излишнего давления протеза, устанавливаемого в полости рта.
Каждая одноразовая канюля рассчитана на одно применение. Объем шприца рассчитан максимально на пять применений (имеет 5 одноразовых канюль для нанесения).
5.6.1. Технические характеристики
|
Исполнение REF |
Форма выпуска Индикатор для съемных протезов |
Длина
|
Диаметр
|
Цвет пасты |
|
ВК 206 |
- Шприц с пастой 1 мл
- 5 одноразовых канюль для нанесения
- Инструкция-вкладыш |
11,7 см
2,9 см |
0,8 см
0,6 см |
зеленый |
5.6.2.Массы, габариты изделия, упаковки
|
исполнение |
Внешний вид изделия, упаковки Индикатор для съемных протезов |
Бокс (упаковка)
|
Масса
|
Масса брутто
|
Масса упаковки
|
|
|
ВК 206,
|
Картонный бокс
|
Ширина 4.5см Длина 16,5см Высота 2.2 см |
Шприц 4г, Канюля 1 г Инструкция 2 г |
18 г |
7 г |
|
5.7. Индикатор окклюзионных контактов Bausch Atri-Spray(код вида 118690).
Представляет собой цветной спрей в баллончике объемом 75 мл белого, красного, синего и зеленого цветов.
Индикатор окклюзионных контактов используется для точности подгонки коронок и мостовидных протезов. Наносится на коронки и мосты. Не распылять в полости рта.
Спреи после высыхания оставляют на исследуемой поверхности тонкий слой краски.
5. 7.1. Технические характеристики
|
Исполнение REF |
Форма выпуска Индикатор окклюзионных контактов |
Объем |
Диаметр баллона (флакона) |
Высота баллона (флакона)
|
цвет |
|
ВК 285 |
Спрей сбаллончике в картонном боксе |
75 мл |
3,5 см |
15,5 см |
Белый |
|
ВК 286 |
Спрей с баллончике в картонном боксе |
75 мл |
3,5 см |
15,5 см |
Красный |
|
ВК 287 |
Спрей с баллончике в картонном боксе |
75 мл |
3,5 см |
15,5 см |
Синий |
|
ВК 288 |
Спрей с баллончике в картонном боксе |
75 мл |
3,5 см |
15,5 см |
Зеленый |
5.7.2. Массы, габариты изделия, упаковки
|
исполнение |
Внешний вид изделия, упаковки Индикатор окклюзионных контактов |
Бокс (упаковка)
|
Масса изделия
|
Масса брутто
|
Масса упаковки |
|
ВК 285 ВК 286 ВК 287 ВК 288 |
В картонном боксе |
Высота 15,8 см Ширина 3,5 см Глубина 3,5 см |
70 г |
78 г |
8 г |
5. 8. Индикатор окклюзионных контактов BauschArti-BruxQuick: (код вида 118690).
Индикатор окклюзионных контактовBauschArti-Brux- Quick ВК 88 представляет собой лак красного цвета объемом 0,15 мл во флаконе с герметичной крышкой и вставленной в нее одноразовой микрокисточкой. Уплотнитель на кисточке препятствует свободному передвижению кисточки.
Средство наносится на окклюзионные поверхности зубов, зубных протезов, коронок, мостов и на твердые шины. После высыхания лак образует тонкий равномерный слой, устойчивый к составу слюны.
Окрашенные поверхности могут находиться в ротовой полости пациента не более 24 часов. В течение этого времени лаковая поверхность истирается зубами (окклюзионными поверхностями). Области контактов, а также следы от движения зубов четко идентифицируются по точкам и областям стертого лака. Для проверки окклюзии при бруксизме окрашенные поверхности помещаются в полость рта непосредственно перед сном пациента.
5. 8.1. Технические характеристики
|
Исполнение REF |
Форма выпуска Индикаторокклюзионных контактов |
Объем |
Диаметр баллона (флакона) |
Высота баллона (флакона)
|
цвет |
|
ВК 88 |
Лак во флаконе с микрокисточкой в герметичном алюминиевом блистере и картонном боксе |
0.15 мл |
0.7 см |
10.5см (смикрокисточкой) |
красный |
5.8.2. Массы, габариты изделия, упаковки
|
исполнение |
Внешний вид изделия, упаковки Индикатор окклюзионных контактов |
Бокс (упаковка)
|
Масса изделия
|
Масса брутто
|
Масса упаковки |
|
ВК 88
|
В картонном боксе
|
Ширина 4,5 см Длина 16,5 см Высота 2,2 см
|
1,2 г |
10 г |
Картонный бокс 7 г
Блистер 2 г
|
5. 9. Индикатор для регистрации контактных пунктовBauschArti-Spot(код вида 118690)
Индикатор для регистрации контактных пунктов представляет собой контактную краску (на основе этилового спирта)красного, синего и белого цвета, во флаконе с кисточкой. Жидкая краска наносится кисточкой на исследуемые поверхности (зубную поверхность, коронки, вкладки, кламмеры) и высыхает в течение 5-10 секунд, образуя тонкий трёхмикронный слой. Слой краски легко повреждается при прикосновении, что позволяет надёжно выявлять места контактов. Индикатор для регистрации контактных пунктов можно также применять на гладко отполированных золотых или керамических поверхностях.
После применения в полости рта краску следует удалить с помощью зубной щётки и теплой воды. При использовании в полости рта, изделие предназначено только для одного пациента. Зубной техник может использовать для удаления остатков краски этиловый спирт или струю пара. Поверхность гипса легко очищается мягкой щёткой.
5.9.1. Технические характеристики
|
Исполнение REF |
Форма выпуска Индикатор для регистрации контактных пунктов |
Объем
|
Диаметр (флакона)
|
Высота (флакона
|
Цветиндикатора |
|
ВК 85 |
Флакон с кисточкой в картонном боксе |
15 мл |
24 мм |
58 мм |
Белый |
|
ВК 86 |
Флакон с кисточкой в картонном боксе |
15 мл |
24 мм |
58 мм |
Красный |
|
ВК 87 |
Флакон с кисточкой в картонном боксе |
15 мл |
24 мм |
58 мм |
Синий |
5.9.2. Массы, габариты, упаковка
|
Исполнение REF |
Внешний вид изделия, упаковки Индикатор для регистрации контактных пунктов. |
Бокс (упаковка)
|
Масса флакона
|
Масса брутто
|
Масса упаковки
|
|
ВК 85 ВК 86 ВК 87
|
В картонном боксе
|
Высота6,6 см Ширина -3,0 см Глубина 3,0 см |
24,0 г |
30,0 г |
6г |
6. Принадлежности
Принадлежности отсутствуют.
7. Сведения о материалах
|
№ п/п |
Наименование вариантов исполнений |
Наименование и марка материала. |
|
1 |
Шелк артикуляционный Bausch: .
|
REF ВК 08, REF ВК 06 Шелковая лента Растительный жир и воск Парафин жидкий Рафинированное касторовое масло Растительная смола Пигмент красный
REF ВК 07, REF ВК 877 Шелковая лента Растительный жир и воск Парафин жидкий Рафинированное касторовое масло Растительная смола Пигмент синий.
REFBK 876 Шелковая лента Растительный жир и воск Парафин жидкий Рафинированное касторовое масло Растительная смола Пигментзеленый |
|
2 |
Фольга артикуляционная BauschArti-Fol.
|
REF ВК 20, REF ВК 1020, REF ВК 70 Основа - Полиэфирная пленка Парафин жидкий Воск Парафиновый воск Каолин (белая глина) Пигментчерный
REFВК 21, REFВК 1021, REFВК 71 Основа - Полиэфирнаяпленка Парафинжидкий Воск Парафиновыйвоск Каолин (белаяглина) Пигменткрасный
REFВК 22, REFВК 1022, REFВК 72 Основа - Полиэфирнаяпленка Парафинжидкий Воск Парафиновыйвоск Каолин (белаяглина) Пигментзеленый.
REFВК 23, REFВК 1023, REFВК 73 Основа - Полиэфирнаяпленка Парафинжидкий Воск Парафиновыйвоск Каолин (белаяглина) Пигментсиний
REFВК 24, REFВК 1024, REFВК 74 Основа - Полиэфирнаяпленка Парафинжидкий Воск Парафиновыйвоск Каолин (белаяглина) Пигментчерный
REFВК 25, REFВК 1025, REFВК 75 Основа - Полиэфирнаяпленка Парафинжидкий Воск Парафиновыйвоск Каолин (белаяглина) Пигменткрасный
REFВК 26, REFВК 1026, REFВК 76 Основа - Полиэфирнаяпленка Парафинжидкий Воск Парафиновыйвоск Каолин (белаяглина Пигмент зеленый
REFВК 27, REFВК 1027, REFВК 77 Основа - Полиэфирнаяпленка Парафинжидкий Воск Парафиновыйвоск Каолин (белаяглина) Пигмент (синий)
REF ВК 30, REF ВК 730 Основа - металлизированная полиэфирная пленка Парафин жидкий Воск Парафиновый воск Каолин (белая глина) Пигментчерный
REFВК 31, REFВК 35, REFВК 731 Основа - металлизированная полиэфирная пленка Парафин жидкий Воск Парафиновый воск Каолин (белая глина) Пигмент красный
REF ВК 32 Основа - металлизированная полиэфирная пленка Парафин Воск Парафиновый воск Каолин (белая глина) Пигментзеленый
REF ВК 33 Основа - металлизированная полиэфирная пленка Парафин жидкий Воск Парафиновый воск Каолин (белая глина) Пигментсиний.
REF ВК 28, REF ВК 1028 Основа - металлизированная полиэфирная пленка Парафин жидкий Воск Парафиновый воск Каолин (белая глина) Пигментчерный Пигменткрасный
REF ВК 38, REF ВК 39 Основа - металлизированная полиэфирная пленка
|
|
3 |
Бумага артикуляционная Bausch.
|
REF ВК 01, REF ВК 1001, REF ВК 03, REF ВК 05 Длинноволокнистая бумага Растительный жир Растительная смола Пигментсиний
REF ВК 02, REF ВК 1002, REF ВК 04 Длинноволокнистая бумага Растительный жир Парафин жидкий Растительная смола Пигмент красный
REF ВК 51, REF ВК 53, REF ВК 57 Длинноволокнистая бумага Растительный жир Парафин жидкий Каолин (белая глина) Пигментсиний
REFВК 52, REFВК 54, REFВК 58 Бумага Растительныйжиривоск Парафинжидкий Каолин (белаяглина) Пигмент красный |
|
4 |
Бумага окклюзионная BauschArti-Check.
|
REF ВК 09, REF ВК 11, REF ВК 13, REF ВК 15, REF ВК 17, REF BK1013, REF 1015, BK 61 Бумага Рафинированное касторовое масло Поливинилацетат Изобутилметакрилат Пигментсиний
REFВК 10, REFВК 12, REFВК 14, REFВК 16, REFВК 18, REFBK 1014, REFBK 1016, REFВК 62 Бумага Рафинированное касторовое масло Поливинилацетат Пигмент красный
REFВК 80, REFВК 81, REFВК 63 Бумага Рафинированное касторовое масло Поливинилацетат Пигментсиний Пигменткрасный |
|
5 |
Пленка окклюзионная BauschGnathoFilm:
|
REF ВК 120, REF ВК 170 Основа - полиэтиленовая пленка HDPE Парафин жидкий Воск Парафиновый воск Каолин (белая глина) Пигментчерный
REF ВК 121, REF ВК 171 Основа - полиэтиленовая пленка HDPE Парафин жидкий Воск Парафиновый воск Каолин (белая глина), Пигмент красный
REF ВК 122, REF ВК 172 Основа - полиэтиленовая пленка HDPE Парафин жидкий Воск Парафиновый воск Каолин (белая глина) Пигментзеленый
REF ВК 123, REF ВК 173 Основа - полиэтиленовая пленка HDPE Парафин жидкий Воск Парафиновый воск Каолин (белая глина) Пигментсиний.
|
|
6 |
Индикатор для съемных протезов BauschBio-InkFlow:
|
REF ВК 206 Туба, поршень шприца, одноразовая канюля: Полипропилен Нержавеющая сталь Наполнитель – паста: Дистиллированная вода Цетеариловый спирт и цетеарет Парафин жидкий Глицерол, Синтетический аморфный диоксид кремния Макрогол Пищевой краситель Пищевой краситель синий Стеарат цинка
|
|
7
8. |
Индикаторокклюзионных контактов BauschAtri-Spray
Индикатор окклюзионных контактов BauschArti-Brux- Quick
|
REF ВК 285 Баллон: Алюминий Насадка (мундштук) Полипропилен Погружная трубка Полипропилен Связующее для алифатических лаков с изобутаном Этанол 96% Пигментбелый
REF ВК 286 Баллон: Алюминий Насадка (мундштук) Полипропилен Погружная трубка Полипропилен Связующее для алифатических лаков с изобутаном Этанол 96% Пигментбелый Пигменткрасный
REFВК 287 Баллон: Алюминий Насадка (мундштук) Полипропилен Погружная трубка Полипропилен Связующее для алифатических лаков с изобутаном Этанол 96% Пигмент из сульфата бария белый Пигментсиний
REFВК 288 Баллон: Алюминий Насадка (мундштук) Полипропилен ПогружнаятрубкаПолипропилен Связующеедляалифатическихлаковс Этанол 96% Пигментизсульфатабариябелый Пигментзеленый
REF BK 88 Флакон, кисть: Полипропилен Содержимое флакона: Этанол 96% Инертный Пигмент красный Шеллак чешуйчатый
|
|
9 |
Индикатор для регистрации контактных пунктов BauschArti-Spot:
|
REF ВК 85 Флакон: Алюминий Кисточка: Полипропилен Содержимое флакона: Этанол 96% Диэтиловыйэфир Этилацетат Макрогол Диоксидтитанапигментбелый Стеаратцинка Синтетический аморфный диоксид кремния Камфора Шеллак чешуйчатый
REF ВК 86 Флакон: Алюминий Кисточка: Полипропилен Содержимое флакона: Этанол 96% Диэтиловый эфир Этилацетат Макрогол Пигмент Стеаратцинка Синтетический аморфный диоксид кремния Камфора Шеллак
REF ВК 87 Флакон: Алюминий Кисточка: Полипропилен Содержимое флакона: Этанол 96% Диэтиловыйэфир Этилацетат Макрогол Пигментсиний. Стеаратцинка Синтетический аморфный диоксид кремния Камфора Шеллак
|
8. Порядок работы с изделием
8.1. Способ применения шелка артикуляционного Bausch:фольги артикуляционной Bausch Arti-Fol, бумаги артикуляционной Bausch, бумаги окклюзионной Bausch Arti-Check, пленки окклюзионной Bausch Gnatho Film
Инструкцию по применению можно скачать на сайте уполномоченного представителя производителя АО «ЭУР-МЕД Денталдепо» https://eurmed.ru/ по ссылке_______
Рекомендации:
1. За выбор типа, размера и формы средства дляпроверки артикуляции и окклюзии отвечает врач-стоматолог или зубной техник.
2. При работе со средствами на основе шелка, бумаги, фольги и пленки специалист может воспользоваться удерживающими пинцетами.
2. При работе с пациентом воспользуйтесь перчатками.
2. Вскройте индивидуальную упаковку.
4. Если средство для проверки артикуляции и окклюзии представлено в виде рулона, отрежьте нужную длину.
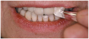
3. Перед применением медицинского изделия «Средство стоматологическое для проверки артикуляции и окклюзии» требуется высушить исследуемую поверхность с помощью ватного тампона или сжатого воздуха. Наличие слюны ухудшает качество отпечатка, что может привести к диагностической ошибке.Особенно это касается самого тонкого средства – фольги артикуляционной Bausch Arti-Fol. При использовании фольги на влажных керамических и полированных металлических поверхностях цветовая индикация окажется практически незаметной.
При использовании бумаги артикуляционной Bausch сильно высушивать исследуемую поверхность не следует – это средство хорошо маркирует увлажненные жевательные поверхности.
8. А. Однофазный метод применения:
Эффект прогрессирующей интенсивности цвета
Для отображения статической окклюзии пригодна бумага артикуляционная Bauschс прогрессирующей интенсивностью цвета. Структура мягкой артикуляционной бумаги подобна губке, пропитанной красящими пигментами, которые выдавливаются на поверхность при надавливании. При сильно выраженных контактах (сильная жевательная нагрузка) проявляется больше краски; при слабых контактах (слабая жевательная нагрузка), соответственно, меньше краски.
При сильном надавливании отпечатки контактов имеют более темный цвет – при слабом надавливании отпечатки контактов имеют более светлый цвет. Анализ отпечатков позволяет специалисту оценить точное распределение жевательной нагрузки при привычной центральной окклюзии.
Для визуальной интерпретации окклюзионных контактов на практике опробованы сочетания различных средств для проверки окклюзии.

Стоматолог моментально получает картину точного распределения усилий в прикусе. Ранние контакты становятся чётко видимыми и могут быть целенаправленно отшлифованы.
После первичной обработки завышенных контактов следует в дальнейшем использовать более тонкие проверочные средства, например, фольгу артикуляционнуюBausch Arti-Fol.
8.Б. Двухфазный метод применения
При последовательном применении бумаги артикуляционнойBausch: и фольги окклюзионной Bausch Arti-Fol: разных цветов (например, синего и красного) достигаются более детальные и информативные цветовые отпечатки окклюзионных отклонений, так как артикуляционные бумага и фольга имеют существенные различия, представленные в Таблице:
|
Бумага артикуляционная |
Фольга окклюзионная |
|
Окрашивает при надавливании |
Окрашивает при накусывании |
|
Отображаем различные силы надавливания |
Отображает точечные контакты |
|
Проверка контактов статической окклюзии |
- Четко отображает только преждевременные контакты - Проверка контактов статической и динамической окклюзии. |
|
Хорошо маркирует на увлажненных жевательных поверхностях |
Маркирует на высушенных поверхностях. |
Рекомендуемый порядок действий при двухшаговом методе применении бумаги артикуляционной Bausch и фольги окклюзионной Bausch Arti-Fol
Шаг 1: Провести проверку окклюзии с помощью бумаги артикуляционной Bausch синего цвета.
1. Поместите средство синего цвета на область исследования окклюзии. Попросите пациента сомкнуть верхний и нижний ряды зубов.



Шаг 2: Провести проверку с помощью Фольгиокклюзионной Bausch Arti-Fol красного цвета (для контраста с синим цветом).
1. Поместите средство красного цвета на область исследования окклюзии. Попросите пациента сомкнуть верхний и нижний ряды зубов.



Двухфазный метод считается более надежным, чем однофазный. Контактные точки в этом методе выражены значительно более четко.
8.2. Способ применения Индикатора для съемных протезов Bausch Bio-Ink Flow

Порядок работы:
Подготовка
- При работе используйте медицинские перчатки
- Вскройте упаковку, извлеките шприц с пастой.
- Отвинтите защитную крышечку на кончике шприца.
- Закрепите против часовой стрелки до упора одноразовую канюлю
Нанесение
- Тщательно высушите слизистые оболочки, нёбо и нижнюю челюсть пациента ватным тампоном или сжатым воздухом, во избежание размазывания цветного индикатора на десне. На исследуемой области не должно быть слюны.
- Очистите и высушите съемный протез
- Нажатием на поршень выдавите необходимое количество пасты на область (области) давления съемного протеза.
![]() | ![]() | ![]() |
| А) Локализация областей давления на слизистую оболочку | Б) Маркировка Индикатором для съемных протезов | В) Перенос маркировки на протез |
В качестве альтернативного способа паста может быть сначала выдавлена на аппликтор, (например, «Микрокисточки с кисточкодержателем MicroBrush – holder», вариант исполнения изделия «Материалы стоматологические для пломбирования и реставрации зубов, с принадлежностями» производства "C энд Си Полимер Силикон- унд Композите Специалитетен ГмбХ", Германия (ФСЗ 2011/09504 от 23.09.2016), а затем нанесена на область давления.

- Установите съемный протез для переноса маркировки области давления на его поверхность.
- Извлеките съемный протез; цветное пятно должно отпечататься на его поверхности. В дальнейшем протез подвергается корректировке.
- Удалите остатки пасты ватным тампоном. Предложите пациенту прополоскать полость рта очищенной водой.
- Отвинтите одноразовую канюлю, поместите в бак для сбора отходов типа Б.
- Закрутите защитную крышечку против часовой стрелки на кончике шприца до следующего использования.
- Однажды вскрытый шприц с пастой может храниться до следующего использования не более 12 месяцев в холодильнике при температуре от +1 до + 15˚С
- Использованный шприц утилизируте как бытовые отходы типа А.
В упаковку Индикатора для съемных протезов вложена краткая инструкция по применению.
8.3.1. Способ применения Индикатора окклюзионных контактов Bausch Atri-Spray
- Извлечь баллон из упаковки, тщательно взболтать перед употреблением.
- Снять крышку-колпачок
- Вынуть распылитель из ушка на крышке-колпачке и вставить в отверстие на распылителе до упора.
- Нанести краску с расстояния 3-5 см на окклюзионную поверхность или на внутреннюю поверхность мостовидного протеза или коронки и дать ей высохнуть в течение 15-30 секунд.
- Совместить исследуемые поверхности на окклюзию.
![]() | ![]() | ![]() |
| Напыление тонкого слоя на внутреннюю полость коронки | Апроксимальные контактные точки | Выявленные точки давления на внутренней поверхности коронки |
Контактные пункты определяются по дефектам красочного покрытия, возникающим после смыкания зубных рядов или после примерки мостовидного протеза, коронки.
Спрей можно также использовать для контроля апроксимальных контактов при подгонке мостовидных протезов или зубов. Места контактных точек можно дополнительно пометить с помощью фольги артикуляционной.
8.3.2. Способ применения Индикатор окклюзионных контактов Bausch Arti-Brux-Quick

Внешний вид флакона

Внешний вид микрокисточки
Индикатор окклюзионных контактов Arti-Brux-Quick ВК 88 представляет собой лак красного цвета объемом 0,15 мл во флаконе с герметичной крышкой и вставленной в нее одноразовой микрокисточкой. Уплотнитель на кисточке препятствует свободному передвижению кисточки.
Средство наносится на окклюзионные поверхности зубов, зубных протезов, коронок, мостов и на твердые шины. После высыхания лак образует тонкий равномерный слой, устойчивый к составу слюны.
Окрашенные поверхности могут находиться в ротовой полости пациента не более 24 часов. В течение этого времени лаковая поверхность истирается зубами (окклюзионными поверхностями). Области контактов, а также следы от движения зубов четко идентифицируются по точкам и областям стертого лака. Для проверки окклюзии при бруксизме окрашенные поверхности помещаются в полость рта непосредственно перед сном пациента.
Порядок работы- Извлеките металлизированный блистер с изделием из картонного бокса.
- Извлеките изделие из металлированного блистера.
- Возьмите изделие в левую руку, как показано на рисунке А
- Нажмите с усилием на ручку выступающей из флакончика микрокисточки до упора (рис Б) (кончик микрокисточки погрузится внутрь флакончика с лаком и окрасится). Уплотнитель на кисточке тормозит ее свободный ход внутри флакона.

- Очистите и хорошо высушите исследуемые поверхности от слюны.
- Нанесите средство кисточкой на исследуемую поверхность.


Если предполагается проверка на бруксизм, окрашенная поверхность должна быть помещена в полость рта незадолго до сна.


После осмотра исследуемой поверхности зубной техник проводит коррекцию
После использования индикатора окклюзионных контактов Arti-Brux-Quick с микрокисточкой рот стоит тщательно прополоскать водой.
По окончании диагностики окрашенную поверхность следует тщательно очистить с помощью:
- зубной щетки (в домашних условиях) или с помощью профессионального оборудования для чистки зубов (в условиях клиники).
- ватным тампоном, пропитанным спиртовым раствором.
- с использованием полировальных средств.
8.4. Способ применения индикатора для регистрации контактных пунктовBausch Arti-Spot
- Извлечь флакон из упаковки, взболтать перед употреблением.
- Отвинтить крышечку с кисточкой
- Нанести небольшое количество лака на исследуемую поверхность
- Дать высохнуть в течение 15- 30 секунд
- Плотно завинтить флакон.
- Совместить исследуемые на окклюзию поверхности.


9. Изделие не подлежит техническому обслуживанию.
10. Соответствие международным стандартам
Система менеджмента по разработке и производству медицинского изделия соответствует требованиям стандарта ISO 13485:2016.
Изделие соответствует следующим национальным стандартам:
EN ISO 10993-1, Биологическая оценка медицинских изделий – Часть 1: Оценка и испытания в рамках процесса по управлению рисками
EN ISO 14971 Медицинские изделия – Применение управления рисками к медицинским изделиям
EN 62366. Медицинские изделия – Применение принципов эксплуатационной пригодности к медицинским изделиям
11. Требования к охране окружающей среды
Изделие при транспортировке, хранении и использовании не оказывают негативного воздействия на окружающую среду.
12. Очистка, дезинфекция, стерилизация
Изделие не подлежит очистке, дезинфекции, стерилизации.
13. Транспортировка и хранение
Изделия транспортируются в транспортной картонной коробке всеми видами транспорта в крытых транспортных средствах в соответствии с правилами перевозок, действующихна транспорте данного вида.
13.1. Условия транспортировки
13.1.1. Варианты исполнения: Шелк артикуляционный Bausch: Бумага артикуляционная Bausch: Бумага окклюзионная Bausch Arti-Check, Пленка окклюзионная Bausch Gnatho Film:- транспортируются при условиях:
Температура от -50˚ Сдо + 50˚ С
Влажность воздуха от 10 до 80%,
13.1.2. Варианты исполнения: Фольга артикуляционнаяBausch Arti-Fol, Индикатор для съемных протезовBausch Bio-Ink Flow, Индикатор для регистрации контактных пунктовBausch Arti-Spot:а также Индикатор окклюзионных контактовBausch Arti-Brux-Quick - транспортируются при условиях:
Температура от 0 до +40˚ С
Влажность воздуха от 10 до 80%,
13.1.3. Варианты исполнения: Индикатор окклюзионных контактовBausch Atri-Sprayтранспортируются при условиях:
Температура от 0 до +50
Влажность воздуха от 10 до 80%,
13.2. Условия хранения
Изделие хранить в крытых помещениях
13.2.1.Варианты исполнения: Шелк артикуляционный Bausch: Бумага артикуляционная Bausch: Бумага окклюзионная Bausch Arti-Check, Пленка окклюзионная Bausch Gnatho Film- хранить при условиях:
Температура от -50˚ С до + 50˚ С
Влажность воздуха от 10 до 80%,
13.2.2. Варианты исполнения: Фольга артикуляционная Bausch Arti-Fol, Индикатор для съемных протезов Bausch Bio-Ink Flow, Индикатор для регистрации контактных пунктов Bausch Arti-Spot:, а также Индикатор окклюзионных контактов Bausch Arti-Brux-Quick – хранить при условиях:
Температура от 0 до +40˚ С
Влажность воздуха от 10 до 80%,
13.2.3. Варианты исполнения:Индикатор окклюзионных контактов Bausch Atri-Spray – хранить при условиях:
Температура от 0 до +50
Влажность воздуха от 10 до 80%,
14. Безопасные комбинации с другими МИ
Изделие не требует совместных комбинаций с другими МИ
15. Маркировка
Маркировка изделия в зависимости от размера индивидуальной упаковки наносится на разные стороны упаковки (для изделий в баллончиках и флаконах - помимо индивидуальной упаковки маркировка наносится на сами баллоны и флаконы) и содержит следующую информацию:
- Логотип компании-производителя
- Наименование и адрес изготовителя
- Страна производства «Made in Germany»
- Адреса офисов продаж в США, Австралии, Японии, Бразилии (для изделий, размеры упаковки которых позволяют указать эту информацию)
- Наименование изделия
- Номер по каталогу (REF)
- Номер партии (LOT)
- Дата производства
- Дата окончания срока годности
- Символ
Запрет на повторное использование (для изделий для однократного применения) - Символ
соответствия продукции требованиям директивы Совета 93/42/EEC - QR-код
- Символ
Не распылять вблизи открытого огня (для изделий в баллончиках) - Объем баллона или флакона в мл
- Уточняющие данные (в зависимости от типа изделия):
- Количество шт. (для изделия в виде полосок, листов)
- Длина (для изделий в рулонах)
- Длина и Ширина для изделий в виде листов
- Толщина (для изделий на основе шелка, бумаги, фольги, пленки)
- Схематическое указание на метод применения (для изделий в баллонах)
15. Макеты маркировки для РФ.
15.1. Маркировка упаковки вариантов исполнения:
В зависимости от размера индивидуальной упаковки информация, содержащаяся на приведенных этикетах, может быть разделена на несколько частей и наноситься на различные стороны упаковки.
- Шелк артикуляционный Bausch:
- Бумага артикуляционная Bausch
- Бумага окклюзионная BauschBauschArti-Check:
- Пленка окклюзионная BauschGnathoFilm:

15.2. Маркировка вариантов исполнения:
- Фольга артикуляционная BauschArti-Fol:
- Индикатор окклюзионных контактов BauschArti-Brux-Quick:

15.3. Маркировка вариантов исполнения:
- Индикатор для съемных протезов BauschBio-InkFlow

15.4. Маркировка вариантов исполнения:
- Индикатор окклюзионных контактов BauschAtri-Spray

15.5. Маркировка вариантов исполнения:
Индикатор для регистрации контактных пунктов Bausch Arti-Spot

Расшифровка символов
|
№ |
Расшифровка символов |
|
|
Номер по каталогу |
![]() |
Код партии |
![]() |
QR – код |
|
Наименование и адрес производителя |
![]() |
Дата изготовления |
![]() |
Ограничение температуры при транспортировке и хранении от -50 до +50 ˚С |
![]() |
Ограничение температуры при транспортировке и хранении от 0 до +40 ˚С |
![]() |
Ограничение температуры при транспортировке и хранении от 0 до +50 ˚С |
|
Использовать до(гггг-мм-дд) |
![]() |
Запрет на повторное использование |
![]() |
Продукция отмечена знаком СЕ и отвечает всем требованиям директивы Совета 93/42/EEC |
|
Обратитесь к инструкции по применению |
![]() |
После первого вскрытия упаковки срок хранения 12 месяцев |
![]() |
Пожароопасно! Легковоспламеняющиеся вещества |
![]() |
Знак соответствия при декларировании |
16. Транспортная упаковка
Транспортная упаковка представляет собой картонную коробку трех основных размеров (36х34х18)±0,5 см, (36х34х26) ±0,5 см, (36х54х34) ±0,5 см, отдельный вид исполнения не имеет строго определенной транспортной упаковки, каждый вид исполнения упаковывается согласно заказу покупателя в коробки вышеуказанных типоразмеров, но с учетом условий транспортировки и хранения. В одну коробку для транспортирования нельзя укладывать изделия с различными условиями транспортировки и хранения.
Каждая транспортная упаковка маркируется этикеткой с указанием:
- наименование изделия
- Наименование грузополучателя;
- Наименование адреса грузополучателя,
- Дата упаковывания и количество изделий в транспортной упаковке.
- Символ "Беречь от влаги"
.- наименования и адреса производителя,
- символом ограничения температуры при транспортировке.
Индивидуальная и транспортная упаковки обеспечивают сохранность медицинского изделия и исключает попадание загрязнений из внешней среды.
Каждый вариант исполнения упакован так, чтобы предотвратить возможное повреждение в результате хранения и транспортировки.
17. Утилизация
Использованные изделия утилизируются как медицинские отходы:
- класса А, если они применялись только в зуботехнической лаборатории
- класса Б, если они применялись в полости рта пациента
по правилам СанПиН 2.1.7.2790-10.
18.Гарантийные обязательства, срок хранения
Гарантийный срок хранениямедицинского изделия составляет 5 лет с даты изготовления при условии соблюдения потребителем условий транспортировки и хранения.
Изделия, промаркированные символом
могут храниться 12 месяцев с даты первого вскрытия упаковки при условиях, указанных в Инструкции по применению.По вопросам качества обращаться к уполномоченному представителю в России
АО «ЭУР-МЕД Денталдепо»
Россия,143360, Московская обл., Наро-Фоминский р-он, г. Апрелевка, ул. Октябрьская, д.9,
Телефон: (496) 345-00-46, (496) 345-00-11, (496) 341-16-90
Эл. почта: info@eurmed.ru
Скачать документ "Инструкция на артикуляционные средства Bausch"





















Пластиковый бокс с защелкой


















Запрет на повторное использование (для изделий для однократного применения)
соответствия продукции требованиям директивы Совета 93/42/EEC
Не распылять вблизи открытого огня (для изделий в баллончиках)










